skip to content
decimal App Documentation
User Tools
Log In
Site Tools
Search
Tools
Show page
Old revisions
Add to book
Export to PDF
Recent Changes
Media Manager
Sitemap
Log In
>
Recent Changes
Media Manager
Sitemap
Trace:
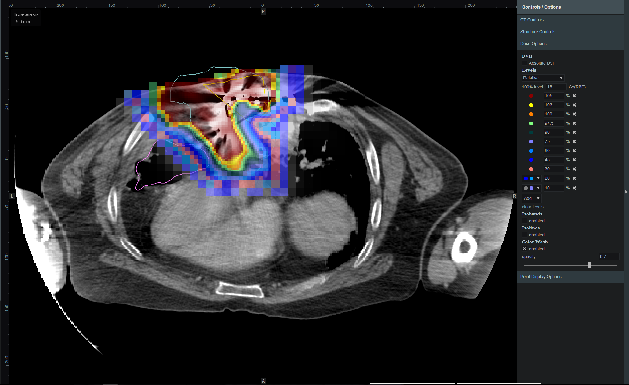
planning:userguide:tutorials:colorwash.png
colorwash.png
Date:
2021/07/29 18:26
Filename:
colorwash.png
Format:
PNG
Size:
376KB
Width:
2062
Height:
1264
References for:
Nothing was found.
This list might not be complete due to ACL restrictions and hidden pages.
Page Tools
Back to planning:userguide:tutorials:finding_optimal_plan
Back to top